L’implant unitaire encastré :
Il s’agit du cas le plus fréquent: remplacer une dent peu de temps après l’extraction afin d’éviter un déséquilibre masticatoire prolongé et/ou la migration des dents bordant l’édentement.

Réhabilitation d’un édentement postérieur libre unilatéral :
La perte de seulement deux molaires dans le même secteur oblige à compenser l’effort masticatoire à l’aide des dents du coté opposé favorisant une usure prématurée des dents ainsi que des douleurs articulaires. Le remplacement des dents manquantes à l’aide d’implants va permettre de retrouver le confort de mastiquer à “pleine dents”.

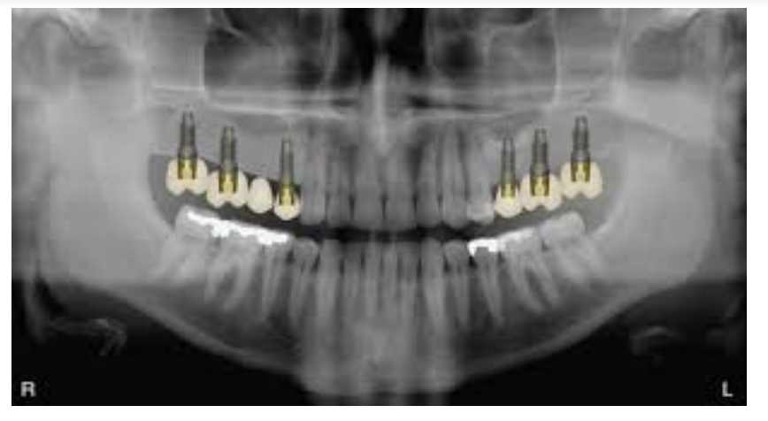
Réhabilitation d’un édentement postérieur libre bilatéral:
Si l’on perd les molaires de chaque coté, la mastication se répercute logiquement sur les dents antérieurs ce qui accélère leur usure et favorise leur déchaussement, en général les dents migrent vers l’avant et des espaces apparaissent.

Réhabilitation d’un édentement complet maxillaire à l’aide de six implants (all-on-six):
Dans certaines situations où l’os vient à manquer dans les secteurs postérieurs, on peut à l’aide de 6 implants placés dans le secteur antérieur remplacés les dents jusqu’aux premières molaires sans effectuer de greffes (sinus lift).

Le même procédé est possible à la mandibule avec 6 ou 4 implants (all-on-four).

Stabilisation d’un appareil complet mandibulaire à l’aide de Deux implants :
Dans 95% des cas, L’appareil complet mandibulaire (dentier du bas) ne présente ni rétention, ni stabilité: il ne tient tout simplement pas.
Il suffit de poser 2 implants au niveau des canines et d’y placer des boutons pressions pour rétablir le confort d’une prothèse adaptée et rétentive.
